首页
门诊简介
诊疗项目
医疗器械
口腔常识
医师团队
诚聘英才
联系我们
内容编辑
首页
>>
诊疗项目
>>
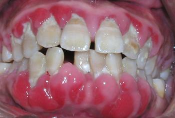
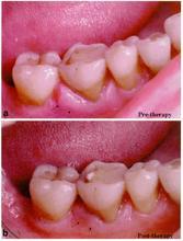
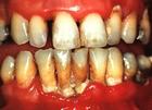
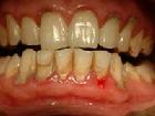
口腔黏膜科
口腔黏膜
口腔黏膜
口腔黏膜
口腔黏膜
口腔黏膜
门诊诊疗项目
口腔内科
口腔外科
口腔修复
口腔正畸
放射诊疗
口腔黏膜科
患者须知
[2026-02-03]
牙痛自救误区,千万别踩坑!
[2025-06-19]
牙齿松动怎么治疗最好
[2025-06-19]
洗牙对牙齿有什么危害和好处
[2024-11-13]
颜面不对称三维评价方法的研究进展
[2024-11-13]
根管再治疗中根管充填物去除辅助技术..
[2024-04-23]
桃花镇:关爱儿童口腔健康 守护儿童..
QQ在线